BAOT KOL derneği
Michail Seldkov Sep 01, 2022

Michail Seldkov -den Cumhuriyet ile ilgili Litvanya.

  • 25 yılı aşkın süredir usta.
  • Belarus'taki ilk özel laboratuvarın kurucusu.
  • Litvanya'daki "IQ ProLab" dijital laboratuvarının sahibi.

Kendisi mükemmel bir diş teknisyeni ve harika bir eğitmen olup, yeni başlayanlara harika dersler vermektedir. BAOT .

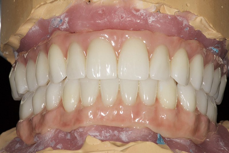
Takdir Michail Seldkov'un Eserleri

Dental Lab Material Porcelain Powder

Dental Lab Material Porcelain Powder PFZ

dental biomaterial ceramic porcelain

dental ceramic powder for dental lab

mesaj bırakın

mesaj bırakın
Sorularınız veya önerileriniz varsa , lütfen bize bir mesaj bırakın , size mümkün olan en kısa sürede cevap vereceğiz!

ev

Ürün:% s

whatsapp